Introduction to Emax and Zirconia
When it comes to achieving a dazzling smile making the right choice between Emax and Zirconia veneers is crucial. This article aims to provide clarity by discussing the qualities of both options helping individuals make a decision for a smile transformation that exudes confidence and excellence. Lets explore the nuances that set Emax and Zirconia veneers apart empowering you to choose
Section 1: Understanding Emax Veneers
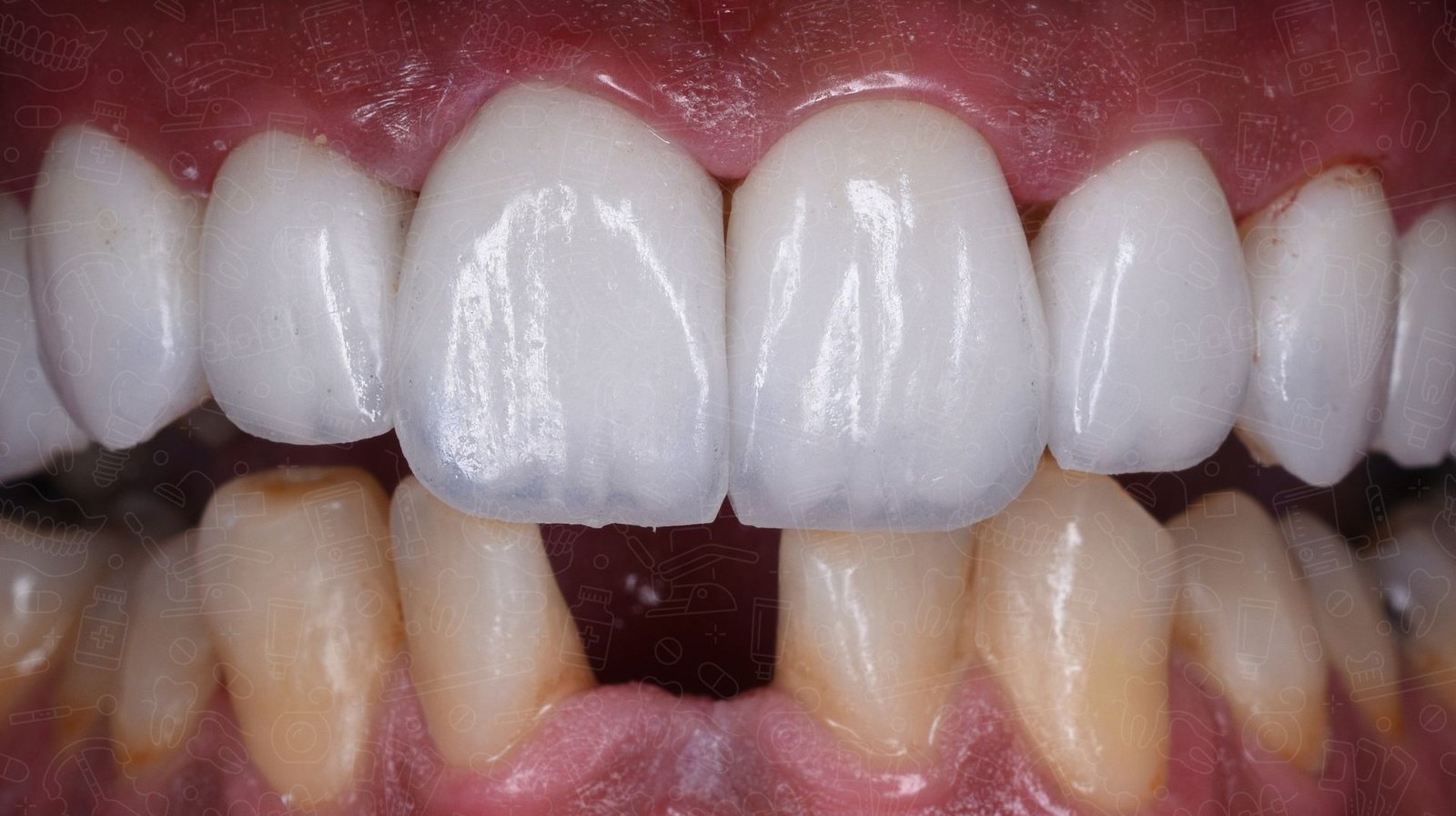
In the realm of enhancements like crowns and bridges Emax veneers have gained recognition, for their translucency and natural aesthetics. This section delves into the world of Emax veneers shedding light on their material composition. How they can significantly enhance the appearance of teeth. By understanding what makes Emax veneers special we can make a comparison that highlights their attributes.
Remarkable Translucency:
One notable feature of Emax veneers is their translucency, which closely mimics the properties of enamel. This allows light to pass through in a way that mirrors natural teeth. The outcome is an realistic look making Emax veneers the choice, for individuals who want tooth crowns and bridges that seamlessly blend with their natural teeth.
Redefining Natural Beauty:
Exploring the world of Emax veneers reveals a transformation in the aesthetics of teeth. The material used, called Emax is a lithium disilicate glass ceramic that not creates veneers that look incredibly natural but also enhances the beauty of ones smile. Emax veneers provide a solution for addressing flaws and achieving an aesthetically pleasing dental appearance.
Unveiling the Composition:
Understanding Emax veneers involves discovering the materials used to create their quality. These veneers are made from lithium disilicate glass ceramic, which is renowned for its strength, durability and optical properties. This composition ensures that Emax veneers not enhance appearance but offer a strong and resilient option for tooth crowns and bridges.
Exploring Their Transformative Impact:
Emax veneers go beyond surface improvements; they have an effect on the overall look of teeth. In this section we will delve into how Emax veneers can address dental imperfections such, as discoloration, chips and misalignments.The outcome is a smile that exudes confidence and natural beauty making Emax veneers a sought after choice, for tooth crowns and bridges.
In essence understanding Emax veneers uncovers a world of excellence characterized by translucency, authentic aesthetics and a transformative impact. This section provides a foundation for a encompassing comparison with other dental enhancement alternatives shedding light on the distinctive qualities that set Emax veneers apart as the preferred option for individuals seeking top notch tooth crowns and bridges.
Section 2: Revealing Zirconia Veneers
In the vast realm of tooth crowns, caps and bridges Zirconia veneers emerge as an impressive choice renowned for their strength and durability. This section embarks on an exploration to uncover the properties of Zirconia. How they contribute to the resilience and brilliance of dental veneers. It establishes a basis for comparison with Emax veneers while offering insights to those seeking long lasting smile enhancements.
Strength and Durability Embodied:
Zirconia veneers take stage with their strength and durability. This section delves into the characteristics of Zirconia—a high performance ceramic known for its robustness. The inherent strength of this material ensures that Zirconia veneers stand as guardians of enduring daily use while providing a lasting solution, for tooth crowns and bridges.
Popular Choice for Long-Lasting Smiles:
An popular choice, for achieving lasting smiles is Zirconia veneers. People are turning to these veneers not for improvements but also for smile enhancements that stand the test of time. In this segment we will explore why Zirconia veneers have become an option offering both durability and a radiant smile that lasts for years.
Unique Properties of Zirconia Unearthed:
Lets take a look at the properties of Zirconia that make it an excellent choice in the realm of tooth crowns, crowns and bridges. With its hardness, resistance to wear and natural translucency Zirconia showcases brilliance like no ceramic material.
Contributions to Resilience and Brilliance:
Now lets delve into how these unique properties of Zirconia contribute to the resilience and brilliance of veneers. From its ability to resist fractures to the captivating luminosity it provides Zirconia veneers exceed expectations by delivering visually stunning smile enhancements. Its strength and aesthetic appeal make it a pivotal player, in the world of veneers.
To sum up uncovering the world of Zirconia veneers reveals a story characterized by strength, durability and everlasting brilliance.This section provides a foundation, for individuals who’re interested in learning about tooth crowns, crowns and bridges. It explores the properties of Zirconia and its role in creating smiles that not only endure over time but also radiate with lasting brilliance.
Section 3: The Aesthetic Consideration of Emax and Zirconia Veneers
In the world of tooth crowns, crowns and bridges the aesthetic aspect becomes crucial when choosing between Emax and Zirconia veneers. This section thoroughly examines the aspects of these two veneer options, including color matching, luminosity and their ability to replicate the beauty of teeth. By delving into these subtleties individuals can align their preferences with the veneer option that best suits their desired smile transformation.
Color Matching Precision:
Aesthetic perfection begins by ensuring color matching. This section carefully evaluates how Emax and Zirconia veneers perform in this aspect. Emax veneers are renowned for their translucency which allows them to mimic the shades present in natural teeth. On the hand Zirconia veneers offer color options that can be customized to achieve an exact match. Understanding these nuances helps individuals choose veneers that seamlessly blend with their existing dentition.
Radiance:
Luminosity plays a role, in creating a smile.Emax veneers have a quality that allows them to interact with light in a way giving off a radiant glow similar, to real teeth. On the hand Zirconia veneers while strong may require techniques to achieve the same level of luminosity. In this section we will dive into the details of each options luminosity providing individuals with the knowledge they need to make a decision based on their desired level of radiance.
Precision in Mimicking Natural Teeth:
The art of creating veneers that look like teeth is truly remarkable. Both Emax and Zirconia veneers approach this task with their characteristics. Emax, made from glass material closely resembles enamel and offers a lifelike and authentic finish. Zirconia although extremely durable may require attention to achieve a level of mimicry to Emax. This section delves into how each option captures the nuances of teeth so individuals can choose the veneer that aligns with their vision for a beautiful smile.
Unveiling Visual Appeal:
When it comes to tooth crowns and bridges visual appeal is crucial. In this section we reveal the attractiveness of both Emax and Zirconia veneers. By providing individuals with an understanding of how each option excels, in terms of aesthetics considerations we empower them to make choices that resonate with their cosmetic preferences.
To summarize when choosing between Emax and Zirconia veneers aesthetic factors play a role. Individuals can make a informed decision by considering color matching precision, luminosity the ability to imitate teeth and overall visual appeal. This allows for a choice that creates an visually stunning smile.
Section 4: Assessing Strength and Durability of Emax and Zirconia Veneers
In the realm of tooth crowns and bridges the longevity of veneers relies heavily on their strength and durability. This section thoroughly examines the factors associated with the durability of both Emax and Zirconia veneers. By understanding how each material withstands everyday wear and tear individuals can confidently choose veneers that seamlessly align with their lifestyle and term oral health needs.
Emax Veneers: Combining Aesthetics with Strength:
Emax veneers are well known for their aesthetics while also offering strength and durability. The glass ceramic composition of Emax contributes to their resilience providing both enhancements well as a robust solution, for tooth crowns and bridges. This section sheds light on the strength of Emax veneers by offering insights, into their ability to withstand daily challenges.
Zirconia Veneers: The Reliable Protectors of Longevity:
Zirconia veneers stand out as defenders in terms of durability. Thanks, to their performance composition Zirconia possesses exceptional strength making it a favored option for those seeking long lasting smile enhancements. In this section we delve into the characteristics of Zirconia that contribute to its resilience providing insights into how Zirconia veneers withstand the challenges of everyday use and typical wear and tear.
Resilience against Daily Wear and Tear:
When it comes to evaluating strength and durability both Emax and Zirconia veneers are put to the test against wear and tear. Emax veneers, with their glass structure showcase resilience when faced with common dental stresses. On the hand Zirconia veneers are known for their hardness. Excel in resisting the forces associated with biting and chewing. This segment offers individuals an analysis of how each option handles the demands posed by activities helping them make an informed choice that aligns with their lifestyle.
Empowering Informed Decision Making:
Ultimately this section serves as a resource for making decisions. By understanding the factors related to strength and durability associated with both Emax and Zirconia veneers individuals can choose options that not meet their preferences but also align, with their long term oral health objectives. This comprehensive evaluation provides individuals, with the information to choose veneers that not improve their smiles but also withstand the test of time offering a long lasting and resilient solution for tooth crowns, crowns and bridges.
In summary the assessment of strength and durability sheds light on the endurance capabilities of both Emax and Zirconia veneers. This detailed examination equips individuals with insights to make decisions guiding them towards veneer options that seamlessly match their lifestyle, preferences and desires for enduring and aesthetically pleasing smile enhancements.
Conclusion
To conclude the journey towards achieving a smile transformation requires consideration, between Emax and Zirconia veneers. Both Emax and Zirconia brings qualities to the table. The final decision depends on individual preferences and specific needs. Whether emphasizing brilliance or long term durability this article empowers individuals to select an option that aligns with their vision of a smile. As you embark on this decision making process keep in mind that both Emax and Zirconia veneers offer expertise in their way contributing to a smile that reflects your confidence and personal style.





